Nº Colegiado: 36001163Reg. Sanitario: C-36-001926
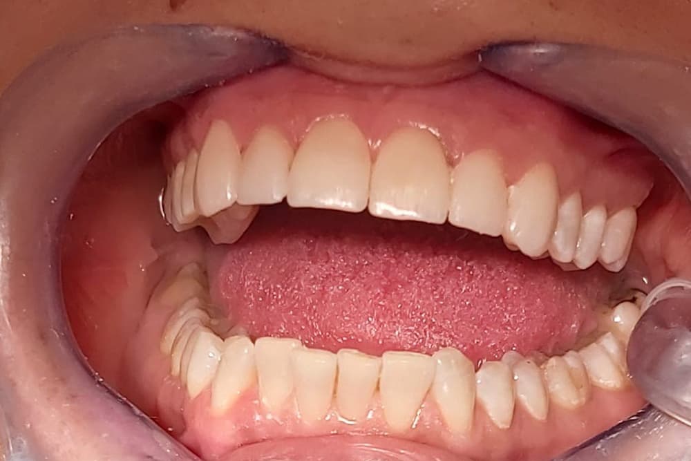
Colocación de carillas dentales en Vigo

Colocación de carillas dentales en Vigo

Consigue la sonrisa de tus sueños

  • Mejoran el color y la forma de tus dientes

  • No desgastan ni debilitan la dentadura original

  • Tratamiento rápido y sin anestesia

¡Primera consulta gratis!

Titanium Clínica Dental & Estética, especialistas en carillas dentales

En nuestra clínica dental somos especialistas en odontología estética y destacamos por ofrecer tratamientos de carillas dentales en Vigo de calidad.

Los tratamientos de carillas dentales son muy demandados en el campo de la estética dental para mejorar la imagen de la sonrisa. Se consigue así combatir problemas como la presencia de manchas en los dientes, rotura en alguna pieza dental... Un tratamiento dental sumamente beneficioso y eficaz.

Las carillas dentales con las que trabajamos en nuestra clínica dental en Vigo se desarrollan con los mejores materiales y técnicas, para garantizar los resultados del tratamiento. Además, nuestros dentistas desarrollan alternativas en carillas dentales que permiten la máxima conservación del cliente, de mano de opciones como las carillas sin tallado. ¡Confía en nosotros y contacta para una primera consulta gratuita!

Especialistas en carillas dentales

¿Aún no conoces todas las ventajas de las carillas dentales?

Aspecto muy natural

Gracias a los avances tecnológicos y a la formación de los profesionales, nuestra clínica dental, nuestros tratamientos de carillas dentales en Vigo proporcionarán un aspecto muy natural a tu dentadura, consiguiendo resultados muy satisfactorios.

Corrigen cualquier defecto

Con este tratamiento, conseguiremos corregir cualquier tipo de complejo o problema en tu sonrisa. No importa si tienes los dientes separados, manchados por el tabaco, por beber café o por tomar alguna medicación, mal alineados, etc.

Tratamiento indoloro

La colocación de carillas dentales en Vigo es una opción 100% indolora y poco invasiva. Pegaremos una pasta sobre tus dientes para conseguir la forma, el color y el tamaño que recuperen la estética de tu sonrisa, ganando confianza y seguridad.

Materiales biocompatibles

En nuestra clínica dental solo trabajamos con materiales de primera calidad. De esta forma, garantizamos el éxito del tratamiento y que los componentes que colocamos no causarán ningún rechazo ni problema de alergias o compatibilidad.

Gran resistencia

Las carillas dentales que colocamos, sobre todo las carillas de porcelana, son capaces de mantenerse en buen estado a pesar del paso del tiempo. Resisten a la ingesta de determinados medicamentos, alcohol, colutorios dentales, etc.

Pronta recuperación

Al ser un tratamiento poco invasivo e indoloro, tras la colocación de las carillas dentales, el paciente tendrá una pronta y rápida recuperación. La colocación de nuestras carillas le permitirá retomar su vida normal y su rutina de inmediato.

¡Presume de sonrisa con nuestras carillas dentales en Vigo!

Descubre ahora la mejor solución en tratamientos de estética dental para recuperar la confianza en tu sonrisa. En Titanium Clínica Dental & Estética te ofrecemos casillas dentales sin tallado, para que disfrutes de unos dientes perfectos sin dañar los tuyos naturales. ¡Te ofrecemos una primera consulta gratuita para carillas dentales en Vigo!

986 114 288 Empezar tratamiento

¿En qué casos se recomienda colocar carillas dentales?

La técnica de las carillas dentales en Vigo que empleamos es ideal para aquellos pacientes que no responden bien ante un blanqueamiento dental, o quieren rejuvenecer su sonrisa.

Gracias a las carillas dentales sin tallado utilizadas en nuestra clínica dental en Vigo, se consigue un diseño perfecto de sonrisa, respetando totalmente el diente natural, sin necesidad de hacer desgastes.

Las carillas dentales son la mejor opción si presentas alguno de estos problemas:

  • Fracturas dentales
  • Dientes apiñados
  • Coloración en los dientes
  • Manchas en los dientes
  • Separación entre piezas dentales

Carillas Lumineers, el tratamiento de carillas en Vigo que respeta tu sonrisa

En nuestra clínica dental en Vigo hemos incorporado tratamientos de estética dental a través de los que conseguimos mejorar la apariencia de su sonrisa, para que puedas sentirte a gusto con ella y ganes confianza en ti mismo.

Nuestros tratamientos de microcarillas y carillas Lumineers presentan una gran cantidad de ventajas, entre la que destacamos que no necesitan tallado dental, convirtiéndose en un tratamiento de carillas dentales totalmente indoloro, porque respeta al máximo los dientes del paciente.

Nuestros especialistas serán los encargados de colocar las carillas dentales sin tallado sobre el diente con una resina especial, para que todos los desperfectos desaparezcan y puedan ser corregidos.

Carillas dentales en Vigo

¿Quieres disfrutar de las carillas Lumineers y lucir una nueva sonrisa?

¡Sonríe sin complejos con las carillas sin tallado!

Una alternativa en carillas dentales con las que no se desgasta el diente, por lo que podrás conservar tu diente natural y disfrutar de un tratamiento de estética dental reversible en todo momento.

Eficaz, rápido y respetuoso con tu dentadura. Comienza ahora tu tratamiento de carillas Lumineers en nuestra clínica dental en Vigo, ¡solicita tu primera consulta gratuita!

986 114 288 Quiero información

Elige entre nuestras carillas de composite o porcelana

Carillas dentales de porcelana

En nuestra clínica dental en Vigo utilizamos la técnica de colocación de carillas de porcelana, que consiste en adherir de forma perfecta una fina lámina de este material cerámico sobre los dientes del paciente para que luzcan un aspecto blanco y con una forma homogénea. Para lograrlo, realizamos previamente en la boca del paciente unos moldes a medida y totalmente personalizados.

Además, las carillas de porcelana son una muy buena opción en estética dental, tanto en calidad como en durabilidad. La duración de estas carillas dentales es de, aproximadamente, 20 años y, durante este tiempo, tus dientes lucirán perfectos y solamente tendrás que hacerte los cuidados y un mantenimiento básico de higiene bucal, tal como harías con tus dientes naturales. Además, las piezas dentales no pierden el esmalte ni el color con este tratamiento.

Si quieres saber más sobre las alternativas disponibles en carillas dentales o deseas conocer el precio de las carillas de porcelana, visítanos y te ofrecemos una primera consulta totalmente gratuita para valorar tu caso.

Carillas dentales de porcelana
Carillas dentales de composite

Carillas dentales de composite

Las carillas de composite son unas de las más elegidas por los pacientes de nuestra clínica dental en Vigo a la hora de realizar un tratamiento de estética dental. Esto se debe a que la fina película que colocamos en sus dientes presenta unos excelentes y duraderos acabados, así como muy naturales por un precio económico y muy asequible.

En Titanium Clínica Dental & Estética contamos con diferentes tonos de carillas de composite para conseguir aquel que mejor se adapta al color de dientes del paciente, corrigiendo y haciendo que desaparezcan esas imperfecciones que causan complejo.

El precio de este tipo de tratamiento de estética dental es mucho más económico y, en caso de que haya cualquier tipo de problema con las carillas dentales de composite, la reparación es muy rápida y sencilla.

A la hora de saber si esta es la opción indicada para ti en el tratamiento de carillas dentales, nuestros dentistas valorarán tu caso y te asesorarán en todo momento.

¿Qué carillas dentales son las tuyas?

En Titanium Clínica Dental & Estética te ayudamos a que elijas las carillas más adecuadas a tu caso y a los resultados que deseas. Ponte ahora en manos de nuestros expertos en carillas dentales en Vigo y consigue las mejores soluciones en estética dental, como nuestras carillas dentales sin tallado.

986 114 288 Quiero información

Algunas cuestiones sobre nuestras carillas dentales

Precio
Cuidados
¿Cómo cuidar las carillas dentales?

¿Cuánto cuestan las carillas dentales?

En nuestra clínica dental ofrecemos una excelente relación calidad-precio en nuestros tratamientos de estética dental. Por eso, si estás pensando en colocar carillas dentales en Vigo, no lo dudes y ven a visitarnos. Te informaremos y daremos un presupuesto totalmente personalizado.

No hay dos casos iguales y, por eso, no podemos definir un coste general del tratamiento. Sin embargo, el precio del tratamiento de carillas dentales varía, sobre todo, dependiendo de si eliges carillas de composite o carillas de porcelana y del número que necesites. Aun así, garantizamos el mejor precio en carillas de porcelana u otros tipos.

¿Cómo cuidar las carillas dentales?

Es frecuente que los pacientes interesados en colocar carillas dentales en Vigo nos pregunten sobre cómo es el cuidado y el mantenimiento de las mismas una vez estén ya adheridas en sus dientes.

Nuestro equipo de dentistas en Vigo será el encargado de informarte con todo detalle según cuál sea tu caso en concreto, pero, lo más habitual, es que siempre y cuando se realicen los cuidados básicos de higiene dental, las carillas dentales, bien sean de composite o de porcelana, no necesitarán de un mantenimiento especial.

¿Cuánto cuestan las carillas dentales en nuestra clínica dental en Vigo?

Consejos para el mantenimiento de tus carillas dentales

Si quieres mantener las carillas dentales con el color y el brillo del primer día a lo largo de los años, recomendamos que sigas estos consejos:

  • Visitar a tu dentista una vez al año. De esta forma, nos aseguraremos de que no sufres ningún problema dental como caries y revisaremos el estado en el que se encuentran tus carillas dentales.
  • Evitar morderse las uñas. Si eres una de esas personas que se muerden las uñas, mordisquea bolígrafos, lápices o material duro, deberías dejar de hacerlo, pues esto podría suponer la rotura de tus carillas.
  • Mantener la higiene dental. Seguir los hábitos de higiene dental básicos que incluyen cepillado tras cada comida, paso de la seda dental y un colutorio es fundamental para conservar tus carillas en buen estado.

Descubre cómo es la colocación de carillas dentales en Vigo

Opta por nuestras carillas dentales en Vigo y consigue el mejor resultado

¡Solicita tu primera consulta gratuita!

¿Tienes alguna duda sobre nuestro tratamiento de colocación de carillas dentales en Vigo? ¿Quieres conocer el precio de las carillas de porcelana? No lo dudes y ponte en contacto con nosotros, resolveremos todas tus cuestiones y te facilitaremos toda la información que deseas saber.

986 114 288 Quiero información

Financiado por la Unión Europea - NextGenerationEU. Sin embargo, los puntos de vista y las opiniones expresadas son únicamente los del autor o autores y no reflejan necesariamente los de la Unión Europea o la Comisión Europea. Ni la Unión Europea ni la Comisión Europea pueden ser consideradas responsables de las mismas.